Top.Mail.Ru
Барнаул
Пункт самовывоза: Барнаул, Павловский тракт, д. 200М
Зелёный свет
вашей клинике

NewTom 2D/3D GO – Компьютерный томограф

NewTom 2D/3D GO – Компьютерный томограф
NewTom 2D/3D GO – Компьютерный томограф
Устройство 2D/3D визуализации, расширяющее диагностический потенциал. Идеальная комбинация отличной производительности в 2D-режиме и самой инновационной 3D-технологии. Оборудование NewTom соответствует постановлению № 560н от 9 июня 2020г.
Производитель
Страна
Италия;
Фокальное пятно, мм
0.6;
Мощность излучателя, кВ
60-90;
Все характеристики
Способы оплаты
Доставка
Описание

Характеристики 

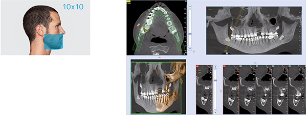
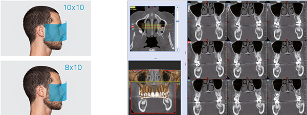
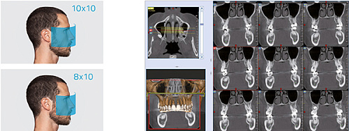
 FOV    10x10, 10x7, 10x6, 8x10, 8x7, 8x6, 6x7, 6x6
 Размер фокусного пятна    0.6
 Время сканирования    PAN стандарт - 12 сек.; PAN эко - 6.6 сек.; 3D - HiRes регуляр/эко - 16,8/ 9,6 сек., Стандарт - регуляр/эко - 11.2/6.4 сек.
 Расположение пациента    Сидя/стоя
 Детектор    CsI - на основе аморфного кремния
 Динамический диапазон    16 бит (65 536 градации серого)
 Вес    90 кг
 Время реконструкции изображения    PAN - моментально, 3D - 15 сек
 Управление экспозицией    SafeBeam(tm) - запатентованный режим автоматического режима экспозиции
 Напряжение на трубке    60-90 кВ
 Рабочее напряжение    115-240 В, +- 10%/ 50/60 Гц +/- 2 %
 Максимальный ток    20А при 115В, 12 А при 240В
 Гарантия    3 года

Характеристики
Производитель
Страна
Италия;
Фокальное пятно, мм
0.6;
Мощность излучателя, кВ
60-90;
Вес
90 кг;
Гарантия, мес.
36;
Отзывы
Устройство 2D/3D визуализации, расширяющее диагностический потенциал. Идеальная комбинация отличной производительности в 2D-режиме и самой инновационной 3D-технологии. Оборудование NewTom соответствует постановлению № 560н от 9 июня 2020г.


Нужна консультация?
Подробно расскажем о продукции и услугах, подберем оптимальный вариант и предложим лучшие цены!
В связи с резкими колебаниями курсов валют окончательные цены на интересующие позиции просим уточнять у менеджеров компании. x